2012/01/26

80) ඇහැ කට ලොකු කරන..ජීවිතේ කෙටි කරන..තද වුනු ඔළු ගෙඩිය

අද සොඳුරු සිප්හලට ලිපියක් එක් කළත් , මෙහි යමක් ලියන්නට හේතු සාධකයක් නොතිබු නිසා වගේම , ටිකක් සැපට නිදා ගන්න ඕන කියල හිතුන නිසා සොඳුරු සුව අසපුවේ කිසිත් නොලියන්නයි මුලින් අදහස තිබුණේ ..(මොකද හැමදාමත් ලෙඩ ලෙඩ...මේව කියවල කියවල එපා වෙන්නත් පුළුවන් නේ ..නේද ? ) නමුත් මීට පෙර ලිපියේ අදහසක් දක්වපු අපේ “ඕනයා මල්ලී“ ගේ කතාව කියවපු මට හිතුන අද ලියන්න යමක් තිබෙන බව ..ඔව් ඒ කතාවේ යම් අවාසනාවන්ත සිදුවිමක් වෙලා තිබුණත් ඒ සිදුවීමම හේතු පාදක කරගෙන , අඩුම තරමේ අපේ සිංහල බ්ලොග් පරිශ්‍රෙය් ඉන්න ඔබ සැමටවත් මේ අනතුරගැන දැනුවත් කරන එක සුදුසුයි කියල හිතුනේ , නැවතත් එවන් අවාසනාවන්ත සිදුවීමක් නොවන්නට මේ තත්ත්වය පිළිබඳ දැනුවත් වීම හරිම වැදගත් නිසා ..(ඒ නිසා මෙය ලියන්න හේතු පාදක වූ ඕනයා මල්ලිට ස්තුති කරන අතරේ , මේ “දැනුම බෙදීමේ  යම් පිනක් වේ නම් ඒ පින ,අපේ කතාවට අරමුණ සැපයූ ඕනයා මල්ලිගේ ,  මවට ලැබෙන්නටත් මම පතනවා..)



සුන්දර අහංගම ..
මේ කතාවත් එක්කම මමත් මීට වසර අද හතක විතර ඈත අතීතයකට ගියා , මතක විදියට එක් දහස් නවසිය අනූපහ විතර ..එතකොට මම හිටියේ , මගේ අම්මත් , තාත්තත් එක්ක අහංගම කියන “සුන්දර ගම්මානේ“ ...මහ නුග ගහක් පාමුල තිබුණ අපේ ගෙරද මිදුලේ මිගේ මිතුරු සමාගමත් එක්ක මොකක්දෝ වැඩක් කරමින් උන්නා ...“පුතේ , ඉන්ද්‍රාණි නැන්ද ඔළුව කැක්කුමයි කියලා හරියට දඟලනවා ...වමනේ දානව , හරි කළබලයක් , දවස් ගාණක් තිබුණලු දැන් නං හුඟක් අමාරුයි වගේ , මං ඉන්ද්‍රිණී නංගිව හොස්පිටල් එකට එක්කන් ගිහින් එන්නං , උයල ඇත්තේ , කාළ ගිහින් නිදා ගන්න , රෑවේද දන්නෑ නේ එනකොට“ ...මගේ අම්ම , අපි ගාවට ඇවිත් කළබලෙන් කියනවා ..මේ අපේ නිවස ළඟම හිතවත් කාන්තාවක් ගැනයි කියන්නේ ..අම්ම ඒ මොහොතෙම ගියා ..ගෙරද ආවේ හුඟක් රෑ වෙලා ..“මොකද වුනේ ..ඇඩ්මිට් කළාද ..හින්නි අම්මට කිව්වද (මොකද ඒ දවස් වල මගේ මවගේ නැගෙණිය කරාපිටිය රෝහලේ හෙද සොයුරියක් , ලෙඩක් දුකක් වුන හැම දේටම කතා කළේ අපේ හින්නි අම්මට තමයි ..) ...“ඔව් හින් නංගිට කිව්වා , ඇඩිම්ට් කළා ..ඒ වුනාට ........කිව් විදියට ඒතරම් විශ්වාසයක් තියා ගන්න බැහැ වගේ “ ...අම්මගේ ඇස් වල කදුළු .. ඊට දින දෙකකට පසු  මොළයේ ලේ ගැලිමක් නිසා සිදු වූ මරණයක් ලෙසින් , ඉන්ද්‍රාණී නැන්දගේ මළ සිරුර  අපේ ගමේ , හිරිගලේ සුසාන බිමේ තැන්පත් වුනා ...

ඕනයා මල්ලිගේ මවගේ සිදුවීමෙත් , මේ සිදුවීමේත් සමානකම් ගණනාවක් තිබෙනවා ..ඒ මේ සිදුවීම් දෙකේම පොදු ලක්ෂණය විදියට මොළය ඇතුළෙ පීඩනය වැඩිවීම සිදුවීම ..Increased Intra Cranial Pressure , ඉතින් අද අපේ කතාව ඒ අනතුරුදායක තත්ත්වය ගැන ..

මේ කතාවෙදිත් මුලින්ම මොළය සහ ඒ ආශ්‍රිත කොටස් ගැන පොඩි අවබෝධයක් ලබා ගෙන ඉඳිමු , එතකොටයි කතාව හරියට තේරුම් ගන්නට පුළුවන් ..

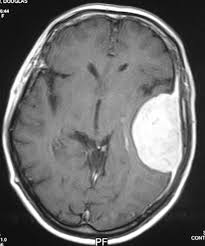
අපේ හිස් කබල ..වෛද්‍ය විද්‍යාත්මකව Cranium කියල කියන ශක්තිමත් අස්ථිමය කුහරය මගින් ආවරණය වුනු “ඔළු ගෙඩිය “ ඇතුළෙ..“ෂොපිං බෑග් තුනක දාල තියෙන පැල පොල් මදයක් වගේ “ හැංගිලා ඉන්නවා මොළය ..වෛද්‍ය විද්‍යාත්මකව නම් මේ මොළය කියන මිදුළුමය ඒකකය කොටස් කිහිපයකට බෙදනවා , ඒතරම්ම වැඩි විස්තරයක් මෙතැන අවශ්‍ය නොවන නිසා (වැඩි විස්තර අවශ්‍ය නම් ඉදිරි දිනකදි සොඳරු සුව සිප්හලට ගොඩවදින්න ආරාධනා කරනවා ) අපි මොළය(Cerebral)  කියල “පොදු වදන භාවිත කරමු ...එතකොට අර කිව්ව “ෂොපිං බෑග් තුන මොකක්ද ?....“ ප්‍රශ්නයක් නේ ...? ඔව් , මේ මිදුළුමය මොළයේ ආරක්ෂාවට , ඒ වටා තුනී පටල තුනක් තිබෙනවා , අපි ඒව නම් කරන්නේ meninges  කියන නමින් ..(ඔය නම මතක තියා ගන්න ...) ඒ පටල අතරේ එහේ මෙහෙට ගමන් කරන “දියරයකුත්“ තිබෙනවා , ඒ දියරයම අපේ කොන්ද ඇතළෙන් පිට දිගේ “සුෂුම්නාව Spinal code"  දිගෙත් ගමන් කරන නිසා ..එය නම් කරන්නේ Cerebro-Spinal Fluid ...දැන් බලාවි මේ හිච්චං කිතර ඔළු ගෙඩිය ඇතුළෙ මොන තරං දේ තියෙනවද කියලා ..ඔව් ..ඔය ඔළු ගෙඩිය  ඇතුලෙ 80%ක් විතර මොළය පිරිලා තියෙනවා , 12%ක් විතර ලේ සහ ලේ නහර ..8%ක් විතර අපි කිව්ව දියර..ලේසි නෑ ඔළු ගෙඩිය පරිස්සං කරන් ඉන්න එකත් නේද ...?

ඉතින් මේ හිස් කබල ඇතුලේ තියෙන මේ දියර , ලේ , පටක නිසා ඒ තුල යම් පීඩනයක් පවතිනවා , අපි ඒක නම් කරන්නේ Intracranial pressure කියල ..එය සාමාන්‍යයි , ඒ වගේම ඒ පිඩනය අවශ්‍යයි මොළය සහ ඒ අවට සෛල වල නිසි ක්‍රියාකාරීත්ව තියා ගන්නත් ..ප්‍රශ්නය වෙන්නේ මේ හිස් කබල තුල පීඩනය වැඩිවීමයි ..(අඩු වීමත් ගැටළුවක් ..ඒත් එම පීඩනය වැඩිවීම තමයි වැඩි අවස්ථාවකම අනතුරුදායක ගැටළුවක් බවට පත්වෙන්නේ ..ඒ නිසා දැන් අපි බලමු කොහොමද මේ Intra-cranial Pressure එක වැඩි වන්නේ කියල ...හොඳයි .ටිකක් හිතල කියන්න බලන්න ......

තෙරපීම ...
අපි මෙහෙම හිතමු , මොළය ඇතුළෙ අළුත් ගෙඩියක් හැදෙනවා ..ටිකෙන් ටික ලොකු වෙනවා ..දැන් මොකද වෙන්නේ , මොළයේ සාමාන්‍ය කොටස් තෙරපෙනවා ..ඒ විදියට තෙරපුනාට මොළයට පුළුවන්ද හිස් කබලත් කඩාගෙන ලොකු වෙන්න ..බැහැ ..ඒ නිසා දැන් මොකද වෙන්නේ , අර ගෙඩිය නිසා අඩුවන ඉඩකඩ ඇතුලේ , සහ හිස් කබල  කියල හුණු ගල් ආවරණය ඇතුලේ මොළය තද පීඩනයකට පත්වෙනවා ..ඒ එක්කම පැල් පොල් මදයක් වගේ තියෙන මොළ ගෙඩිය මිරිකුණාම , ඒ එක්ක තියෙන C.S.F වලත් පීඩනව වැඩිවෙනවා ...ඔන්න ඔය සිදුවීම තමයි අපේ මේ කතාවේ සිද්ධාන්තය ..මේ විදියට පීඩනය වැඩි වන්නට ගෙඩි (Tumors ) මේව පිළිකාමය හෝ නොවන අවස්ථාවේ කුමක් වුවත් “ගෙඩියක් ආවොත් “ මොළය ආශ්‍රිත පීඩනය ඉහළ යනවා..ඒ විතරක් නොවෙයි , හිස් කබල ඇතුළේ කොතනක හරි ඉදිමීමක් වුනොත් ...ඒ කියන්නේ Meninigitis (Meninge+itis මෙනින්ජි ප්‍රදාහය) හෝ Encephalitis (මොළයේ මිදුළුමය encephalo +itis කොටස් වල ප්‍රදාහය - දැන් මතකද මන්දා අපි මේ itis ගැන අර ගල් ගුහාවේ මාරයා ලිපියෙදි කතා කළා) වැනි මොළය තුල ප්‍රදාහික තත්ත්වයක් ආවත් මේ විදියටම I.C.P. වැඩි වෙනවා (I.C.P.-Intra cranial pressure) තවත් හේතු ....ඔව් යම් විදියකින් මොළය ඇතුලට ලේ වැගිරීමක් වෙනවා නම් ...(Intracranial hemorrhage ) කොහොමද වෙන්න පුළුවන් , ..? මොළය ඇතුලේ තියෙන ලේ නහර විය පත් වීම , නහර වල ඇති වන යම් දුර්වලතා ...නහර පිම්බීම් (Aneurysm ) තිබීම් වගේ අවස්ථා වලදීත් .සමහර විට පාළනය නොකළ අධිරුධිර පීඩනයේදීත් මේ විදියට මොළය ඇතුලට ලේ ගලන්නට පුළුවන් , අනික ඉතින් රිය අනතුරක් හරි ඔළුවට දරුණූ පහරක් හරි වැදුනම මේක වෙන්න පුළුවන් බව ආයෙ ඉතින් කියන්න ඕනයැ නේද ...? මීට අමතරව මොළය ඇතුලේ තියෙන C.S.F තරළය හරි හැටි ගලා නොයාම හෝ වැඩිපුර ස්‍රාවය විම නිසාත් මේ වගේම පීඩනය වැඩිවන්නට පුළුවන් ..ඒත් බොහෝ අවස්ථාවල මේ තත්තවය උපතින්ම එන අවස්ථා වැඩි නිසා ප්‍රතිකාරයටන්ට යොමුවීමේ ඉඩ වැඩියි ..නමුත් ලොකු වුනාම එන I.C.P.වැඩිවීමට ප්‍රතිකරයන්ට යොමු වෙන්නේ හුඟක් වෙලාවට ප්‍රමාද වෙලා ...

අපි දැන් බලමු මේ විදියට Intra cranial pressure එක වැඩි වනොත් අපි කොහොමද හඳුනගන්නේ කියලා ..හොඳ ප්‍රධාන ලක්ෂණ කිහිපයක් තියෙනවා  , තද හිසේ රුදාවක් , විස්තර ඇතිව කිව්වොත් මේක පොඩි ගණනන් ගන්න තරම් දෙයක් නෙවි ..අර .....පෙත්තක් බිව්වම ඇරිල යනව කියන තත්ත්වේ ඉඳලා ...ඉවසගන්න බැරිව දඟලන තරමටම දරුණූ හිසේ කැක්කුමක් වෙන්නත් පුළුවන් ..ඇත්තමට මේ අනතුර හඳුනා නොගෙන පෙත්ත ගිල ගිල ඉන්න ගියොත් නම් ....????? ...

projectile vomiting
දෙවැන්න මේ එක්කම වමනේ යන්න ඉඩ තියෙනවා ..මේ වමනය ටිකක් අසාමාන්‍යයි ..හුඟක් වෙලාවට ඈතට විදින ස්වභාවයකින් තමයි වමනේ දාන්නේ ...Projectile vomiting ඔය ලක්ෂණ දෙක එකට එනවා නම් අනේ ගණන් නොගෙන පෙති ගිල ගිල ඉන්න එපා ..කළබල නොවී ඔබේ පවුලේ වෛද්‍යවරයා හමුවෙන්න . (කළබල වෙන්න එපා කිව්වේ , අනවශ්‍ය විදියට කළබල වීමත් අනතුර  වැඩි කරගනීමක් වෙන්න පුළුවන් නිසා )
(ඇහේ) බබාල බලන්න .....

මේ එක්කම  ඇස්වල පෙනීමේ වෙනසක් ඒ කිව්වේ බොඳ වෙලා පේන ගතියක් , එක දෙක වෙලා පේන double vivsion තත්ත්වයක් , නැත්නම් විදුලි කොටනව වගේ , එළි විහිදෙනව වගේ පෙනීමක් වෙන්නත් පුළුවන් ...ටිකක් හොඳට බැළුවොත් මේ කෙනාගේ ඇස් දෙක දිහා , ඇස් දෙකේ බබාගේ ප්‍රමාණය අසමානයි , (unequal pupils)

තවත් දේවල් තියෙනවා නිදි බර ගතියක් , කල්පනාව අඩු බවක් ,සමහර විට “මේ වෙනද හිටිය “ මනුස්සයද “ කියල හිතන්න බැරි තරමට චර්යාව , කතා බහ පවා වෙනස් වෙන්න පුළුවන් ...සමහර විට ඇඟේ පැත්තක් හිරිවැටිලා , නැත්නම් පණ නැහැ වගේ දැනෙන්නත් පුළුවන් ..

වැඩේ ටිකක් දරුණුවට ගිහින් නම් “වෙනද කවදාවත් මීමැස්මොරේ නොහැදුනු මනුස්සයට මීමැස්මොරෙත් හැදුන“ කියල කියන්න වෙන්නත් පුළුවන් , මොකද මෙහිදි මොළයේ විද්‍යුත් ක්‍රියාවලියත් වෙනස් වන නිසා අපස්මාර තත්ත්වයක් , ගැහිල සිහි නැතිව වැටෙන්නත් පුළුවන් ..

ඉතින් මේ මුල් ලක්ෂණ කිහිපයක් පිළිබඳ දැනගන්නට ලැබුණොත් , කළ යුතු හොඳම දේ කිට්ටුවම තියෙන රජයේ රෝහලට යන  එක , (ඔබේ පවුලේ වෛද්‍යවරයා මගින් වුවත් කමක් නැහැ ) ..එහිදි මුලික පරීක්ෂණ කිහිපයකින් පස්සේ “මොළයට යම් අනතුරක් “ යැයි සැක කළොත් M.R.I. හෝ C.T. scan වැනි පරික්ෂණත් , කරන්න ඉඩ තිබෙනවා . තත්ත්වය එසේ නම් ඖෂධ මගින් පාලනය කළ නොහැකි නම් බොහෝ දුරට , දැඩි සත්කාර පහසුකම් , සහ ස්නායු ශල්‍ය දැඩි සත්කාර පහසුකම් සහිත රෝහලක පහසුකම් ලබා දෙන්නට කටයුතු කරාවි , මොකද මෙහිදි මොළය තුල පීඩනය අඩු කරන්නට වගේම ජීවිතය පවත්වා ගන්නටත් මේ දැඩි සත්කාර ඒකක වල පවතින තාක්ෂණික උපකරණ අත්‍යවශ්‍යයි ...ඒ එක්කම මීට හේතුව මුලින් කීව වගේ මෙනින්ජයිටිස් හෝ එවැනි ප්‍රදාහයක් හෝ ආසාදනයක් නම් ඊට අවශ්‍ය ඖෂධිය ප්‍රතිකාරත් ආරම්භ කරාවි ..

දැන් මේක කියවගෙන ගිහින් ඔළුවෙ කැක්කුම ද දන්නෑ ..ඒත් බය වෙන්න එපා ...I.C.P . වැඩි වුනු පමණින් එය ජීවිතයේ අවසාන මොහොත කියල බය වෙන්න එපා , හේතුව අද තිබෙන වෛද්‍ය ප්‍රතිකාර ක්‍රම සහ වෛද්‍ය තාක්ෂණයත් එක්ක මේ තත්ත්වය හොඳින් පාළනය කරගෙන , සම්පුර්ණ සුවයක් ලබන්නට පුළුවන් ..මේ වෙලාවේ මගේ මතකයට එන්නේ මම කරාපිටිය රෝහලේ ස්නායු ශල්‍ය ඒකකයේ සේවය කරන කාළේ මෙවන් රෝගීන් කීදෙනෙක් හමුවෙලා ඇත්ද ..ඉන් වැඩි ප්‍රමාණයක් ලොකු අතුරු ආබාධයක් නැතිව කළකට පස්සේ සතුටින් ගෙදර ගිය බව මට නම් තාමත් මතකයි ..

එහෙමනම් ..අද අපේ කතා වනේ I.C.P වැඩි වීම සහ එය හදුනා ගැනීමත් ...මේ ගැන මීට වඩා ලියන්නට කරුණූ තිබුණත් , අපේ මුලික දැනුමට මේ ප්‍රමාණවත් යැයි සිතෙන නිසාත් , දැන් මගේ I.C.P. නොවැඩි වුනත් නිදිමතක් එන නිසාත් අද ලිපිය මෙතැකින් නිමා කරනවා ..

ලබා ගත් දැනුම ඔබට යම් පිළිසරණක් වේ යැයි හැඟේ නම් , එය ඔබේ මිතුරාටත් බෙදා දෙන්නට උත්සුක වන්න ,එවිට  “දැනුම බෙදා දීමේ නිරාමිස සතුටේ හිමිකරුවෙක් වන්නට ඔබටත් හැකි“  බව පමණක් මා පවසන්නම් ...

7 comments:

  1. මේ ලිපියෙනුත් නොදන්න කරුණු බොහෝ දැන ගත්තා
    …//මේ වමනය ටිකක් අසාමාන්‍යයි ..හුඟක් වෙලාවට ඈතට විදින ස්වභාවයකින් තමයි වමනේ දාන්නේ//
    …වමනේ දාන විදියෙනුත් යම් යම් නිගමන වලට එන්න පුළුවන් බව අදයි දැන ගත්තෙ .

    …බොහොම ස්තූතියි .

    ReplyDelete
  2. -Gimhani,
    ස්තුතියි ඔබේ පැමිණිමට , ඔව් මේ වගේ පොදුවේ අපි නොසිතන ලක්ෂණ වලින් රෝග තත්ත්ව ගැන නිර්ණය කරන්නට පුළුවන් , අපි ඉදිරියේදි ඒ ගැනත් කතා කරමු .

    -ඕනයා,
    ස්තුතියි ඔබටත් ...

    ReplyDelete
  3. මගේ යාලුවෙක් නැති උනා මීට වසර කිහිපයකට කලින්. මොලේ ගෙඩියක් නිසා තමයි එයා නැති උනේ, අනේ මට එයා මතක් උනා.....

    ReplyDelete
  4. -Shaggy,
    ඔව් අපි නොදන්නවාට මේ වගේ “සැඟවුනු“ තත්ත්ව නිසා අපේ මිනිසුන් කීදෙනෙක් නම් මියැදෙනවා ඇත්ද ? ස්තුතියි ඔබේ පැමිණීමට..

    -නොසිතු අයෙක්,
    බය වෙන්න එපා ඒ නම් , මේ ලිපිය දිග වැඩි නිසා වෙන්න ඇති නේද?

    ReplyDelete
  5. වැදගත් ලිපියක් අයියේ, ගොඩක් දේවල් ඉගෙනගත්තා, ස්තූතියි ඒකට!

    ReplyDelete

(අදහස් දැක්වීමට කිසිදු බාධාවක් නැති වුවත් , සතියකට වඩා පැරණී ලිපි වලට අදහස් දැක්වීමේදී එය පිටුවෙහි පළ වීමට සහ පිළිතුරු ලබා දීමට ප්‍රමාදයක් විය හැක.)